Scattered Clouds
clouds

18 April 2024

Amman

Thursday

71.6 F

22°

Home / Panorama

Horrifying X-ray revealed creatures were breeding inside man's body

25-01-2025 09:44 AM


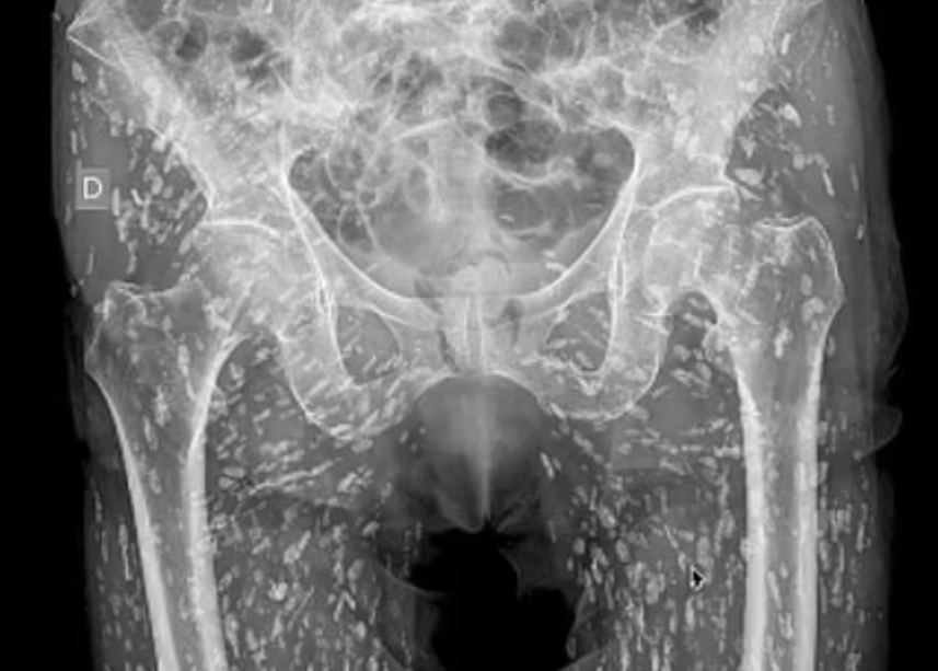
Ammon News - A man was left in horror after an X-ray revealed his body was riddled with tapeworm eggs.

The image shows hundreds of 'rice grain' nodules that turned out to be cysts caused by the parasitic infection.

Dr Sam Ghali, an urgent care doctor in Florida, shared the photo on social media describing it as one of the 'most insane X-rays' he'd ever seen.

He explained that the unnamed patient developed the condition after eating raw or undercooked pork which contained tapeworm larvae.

The larvae - newly hatched worms - get into body tissues and form cysts there. These cysts can then decay and cause infections.

Dr Ghali said the case serves as reminder to 'always do your best to keep clean, wash your hands, and never, ever, under any circumstances eat raw or undercooked pork'.

Incredibly, the patient was completely unaware he was suffering from the condition and had gone to hospital for an X-ray following an unrelated fall.

In a video that has went viral, a shocked Dr Ghali says: 'They're everywhere [the cysts] and they're innumerable, you can't even begin to count them all.

'Now these cysts can travel anywhere throughout the entire body. In this patient, they've traveled heavily to the soft tissues of the hips and the legs.'

A Taenia solium infection, taeniasis, happens after someone eats tapeworm eggs in contaminated or uncooked pork.

Tissue cysts cause the infection cysticercosis, which are particularly dangerous when they occur in the brain or nervous system, an infection known as neurocysticercosis.

The eggs may also mature into adults in around two months.

This can happen in various organs of the human body, as well as the muscles, skin, eyes and the central nervous system.

Cysticercosis and neurocysticercosis - when the cysts form in the brain - are most common in farming communities in developing countries in Africa, Asia and Latin America.

Transmission occurs mainly through infected people not washing their hands properly after using the toilet, though the eggs can also be passed through water contaminated with fecal matter. Daily Mail




No comments

Notice
All comments are reviewed and posted only if approved.
Ammon News reserves the right to delete any comment at any time, and for any reason, and will not publish any comment containing offense or deviating from the subject at hand, or to include the names of any personalities or to stir up sectarian, sectarian or racial strife, hoping to adhere to a high level of the comments as they express The extent of the progress and culture of Ammon News' visitors, noting that the comments are expressed only by the owners.
name : *
email
show email
comment : *
Verification code : Refresh
write code :